top of page
210 6004282
697 1819638
ocus
endodontics
Παραπομπή περιστατικού
Αρχική
Το ιατρείο μας
Ο χαρακτήρας του ιατρείου μας
Σχετικά με εμάς
Η τεχνολογία μας στις υπηρεσίες σας
Ενδοδοντική θεραπεία
Τι είναι και που αποσκοπεί
Θέλω κι άλλες λεπτομέρειες!
Αρχική επίσκεψη
Συνεργασία με συναδέλφους
Κλινικά περιστατικά
Επικοινωνία
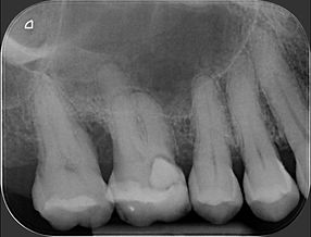
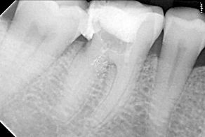
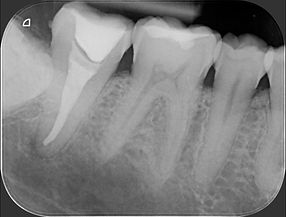
Κλινικά Περιστατικά
bottom of page